Premium Dental Implants From Just $60 Per Week!
A dazzling, confident smile is closer than you think! If missing teeth, loose dentures, or an uneven smile have held you back, high-quality dental implants can transform your appearance and restore full function—at a price that works for you.
  • Natural-Looking, Long-Lasting Results
  • Eat, Speak & Smile With Confidence
  • No More Dentures—Enjoy a Permanent Solution
  • Flexible Finance Options Available
  • ​No Need for Expensive Trips Abroad!

Why Choose Dental Implants?

Unlike traditional dentures or bridges, dental implants are a permanent, natural-looking solution that feels just like real teeth. They provide unmatched durability, improve oral health, and enhance your smile—so you can laugh, eat, and speak without worry.
The outcomes shown are only relevant for this patient and do not necessarily reflect the results other patients may experience.

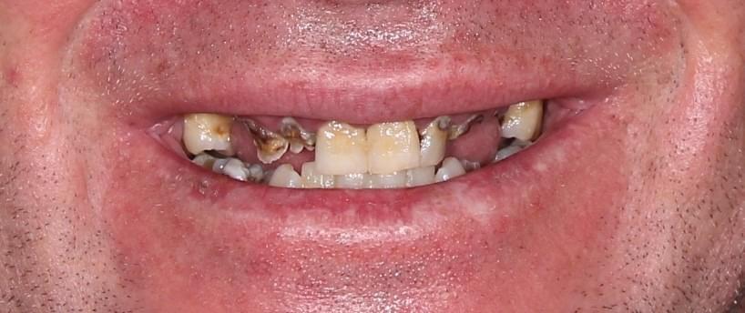
BEFORE

AFTER

BEFORE

AFTER

BEFORE

AFTER

BEFORE

AFTER

Don’t Fly Overseas - Get Safe, Trusted Care Locally!

Many people consider traveling overseas for cheaper dental implants, but hidden risks can lead to complications, costly repairs, and poor-quality materials. Our expert dentists use only the best techniques and technology—right here, in a clinic you can trust.

About Us

Dr. Sonia Kharinta
B.D.S Dental Surgeon

With over 15 years of clinical excellence, Dr. Sonia Kharinta is the visionary principal dentist and owner of Lethbridge Dental. Since graduating in 2009, she has dedicated her career to transforming smiles and lives through a combination of precision, artistry, and advanced technology.

Dr. Sonia continually pursues excellence through global education, completing prestigious training and fellowships from leading institutions. She has completed her B.D.S., Fellowship in Implant Dentistry (Miami & UNLV), Masters of Oral Implantology (AIA), Master of the Implant Prosthetic Section of ICOI & Diploma in Clear Aligner Therapy.  She is a fellow of the International Congress of Oral Implantologists.

Her clinical interests lie in advanced implant dentistry, full mouth rehabilitation, smile makeovers, cosmetic dentistry, and clear aligner therapy. Patients trust her for her meticulous attention to detail, compassionate care, and commitment to delivering long-term results.

Dr. Sonia’s signature motto – Smiles redesigned through Precision & Artistry® – reflects her deeply held belief that exceptional dentistry is both a science (education & training) and an art (true passion). Her approach goes beyond treating teeth; it’s about enhancing confidence, restoring function, and improving overall wellbeing.

Dr. Sonia’s career goal is to continue raising the standard of care through innovation, education, and a patient-first philosophy. Whether restoring a single missing tooth or performing a full-arch reconstruction, her mission is simple: to help every patient smile with confidence again.

Dental Implants

Here at Lethbridge Dental, we believe everyone deserves a healthy smile. But, unfortunately, many Australians are missing at least one or more teeth, and the impact can be devastating for self-confidence, and losing multiple teeth can be prematurely ageing. Dental implants can restore your missing teeth. Imagine smiling confidently again and enjoying favourite foods that may have been off the menu for years.

Understanding your needs and concerns is our primary focus. We take the time to assess each patient considering dental implants carefully, and your initial visit is your chance to discover much more about this innovative treatment. Then, we set aside plenty of time to answer all your questions, determining the best implant solution to provide optimal results.
When you lose a tooth, the entire tooth is removed, including its root. A dental implant has a tiny screw that replaces the tooth root artificially and is the next best thing to having a natural tooth. The process to insert the implant screw is quick, typically taking only an hour or so to place a single dental implant. Once in place, the implant screw bonds with your jawbone, so within a few short months, it is strong enough to support a replacement tooth. A dental implant tooth looks just like a real tooth. We design all implant teeth carefully so they support your facial features and muscles correctly. 

Dental Implants: The Benefits

There are many other benefits in choosing dental implant treatment, including:
  •  Improved self-confidence and self-esteem. Dental implant teeth will restore your ability to smile confidently, feel strong and stable and have excellent functionality. 
  • ​Clear speech. People who have lost multiple teeth can struggle to enunciate words. Dental implant teeth make it easy to speak clearly.
  • ​Protect oral health. Dental bridges use natural teeth as anchors, requiring these teeth to be substantially reshaped, leaving them at increased risk of infection and decay in the future. Dental implants are self-supporting, so remaining natural teeth are left intact.
  • ​Greater food choices. When you wear dentures or are missing multiple teeth, it is harder to eat certain foods. Dental implant teeth are comfortable and have greater biting strength, so it is easier to eat more nutritious foods, protecting your general health.
  • ​Convenience. Dental implant teeth are easy to care for, and there is no need to worry about removing and reapplying messy, expensive denture adhesive
  • ​Durability. Dental implants fuse with your jawbone and, with the proper ongoing care, should last for many years, and often, for life.

Who Can Have Dental Implants?

Provided you are over age 18, are in good dental and general health, you are almost certainly suitable for dental implants. Dental implants can be very useful for anyone a bit older and who might have struggled for years with loose, uncomfortable dentures. However, if you have medical conditions affecting your immune system or smoke, this can affect healing, and we will discuss suitability in greater detail with you, providing you with all the information needed to make an informed decision. We also discuss how to care for dental implants, as a regular oral care routine and continued professional dental checkups and cleanings are vital for maintaining strong, healthy implant teeth.

What We Can Offer You

We offer a range of dental treatments.

Single Dental Implants

Replace a single missing tooth or replace more than one missing tooth in different areas of your mouth

Implant Bridges

Replace multiple missing teeth that were originally side by side, so there is no need to replace every tooth with an implant.

Full Mouth Dental Implants

Restore a complete arch of missing teeth. Options include a full arch dental bridge, and All-on-Four, using as few as four dental implants to hold a complete arch of teeth.

Before & Afters

Get Affordable Dental Implants From Just 
$60 Per Week With Our Flexible Finance Options

Powered By ClickFunnels.com